Fetal Echocardiography in Kandivali East – Vcare Imaging
At Vcare Imaging & Diagnostic Center, Kandivali East, we provide specialized Fetal Echocardiography (Fetal Echo) to evaluate the heart of an unborn baby. This advanced ultrasound test helps detect congenital heart defects early, ensuring timely care and treatment planning for both the mother and child.
Have a Question? We’re Here to Help!

What is Fetal Echocardiography?
View More
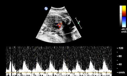
Fetal Echocardiography is a safe and non-invasive ultrasound examination that focuses on the structure and function of the baby’s heart while in the womb. It is usually recommended between 18 to 24 weeks of pregnancy if there is a risk of heart abnormalities.

When is Fetal Echo Needed?
View More
Your doctor may recommend a Fetal Echocardiography if:
- There is a family history of congenital heart disease.
- Abnormalities are seen during routine pregnancy scans.
- The mother has diabetes, thyroid issues, or autoimmune diseases.
- The mother is taking certain medications during pregnancy.
- Pregnancy through IVF or multiple pregnancies (twins/triplets).

Benefits of Fetal Echocardiography
View More
- Detects structural heart problems in the baby before birth.
- Provides early diagnosis for better treatment planning.
- Helps parents and doctors prepare for delivery at a specialized center if required.
- Non-invasive, safe, and painless for both mother and baby
